マイクロスコープやCTを利用した、より精度の高いインプラント治療
マイクロスコープというと根管治療というイメージがありますが、インプラント治療においても欠かせない医療機器です。拡大鏡下におけるインプラント周囲の歯肉移植術や上部構造装着時のセメント取り残しの確認など、精密に状態を把握できるマイクロスコープは重要です。当院ではマイクロスコープやCTを使用し、丁寧なインプラント治療を努めています。また、患者様のご希望するお口の状態をしっかりと把握し、インプラントが必要か必要でないかを納得していただいた上で治療に移りますので安心してご相談ください。
インプラント治療の症例
インプラント治療(歯の無い場所に再び歯を取り戻します)
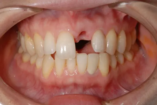
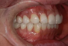
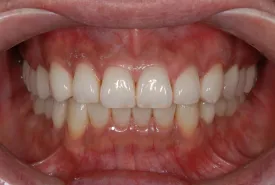
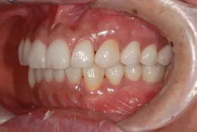
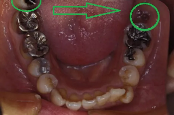
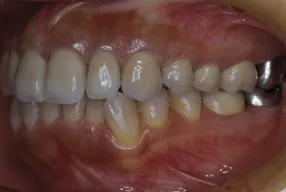
初診時


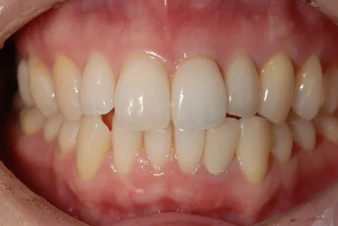
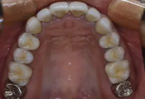
治療完了時


| 患者様のお悩み | 外傷で歯が抜けた |
|---|---|
| 治療法・使用素材 | インプラント治療の後、セラミック治療 |
| 患者様の年代 | 20代 |
| 治療開始年齢 | 20代 |
| 治療にかかった期間 | 8か月 |
| 性別 | 女性 |
| この治療のリスクについて | インプラントが正しい位置に入るかどうか |
| 治療にかかった費用 | 45万円 |
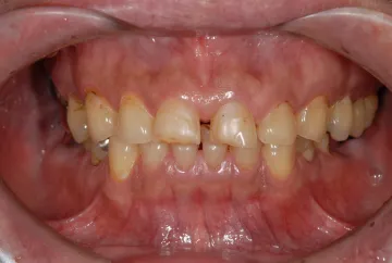
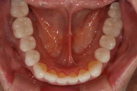
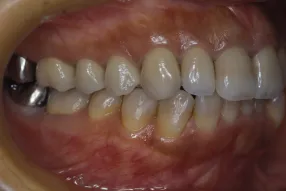
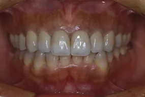
初診時






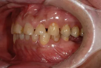
治療完了時






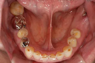
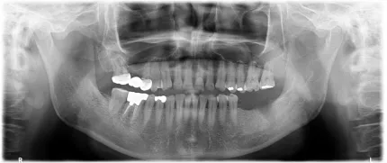
| 患者様のお悩み | 咀嚼障害、左の奥歯が抜けた。 |
|---|---|
| 治療法・使用素材 | インプラント治療の後、セラミック治療 |
| 患者様の年代 | 60代 |
| 治療開始年齢 | 60代 |
| 治療にかかった期間 | 1年6か月 |
| 性別 | 男性 |
| この治療のリスクについて | 歯ぎしりがひどいので修復物の耐久性が将来的に問題になる可能性があること |
| 治療にかかった費用 | 450万円 |
歯の移植について
健康志向が高まる中、「自分の歯をできるだけ残したい」という思いは多くの人に共通するところです。しかし、歯の状況によってはそれが叶わないこともあり、そうした場合は抜歯処置を行った後、インプラント、入れ歯・義歯、ブリッジといった方法で歯を補うことになります。これらの方法のほかに、条件が揃っていれば「歯を移植する」という選択肢をご提案できる場合があるのをご存じでしょうか。
歯の移植のメリット・デメリット
一番スタンダードな歯の移植は、抜いた親知らずを使用して歯の欠損部分に移植する方法です。
人工物であるインプラントに対して、親知らずはもともとお口の中にあった歯ですから身体に優しい治療法です。
歯の移植に関するメリット・デメリットを一言でいえば次のようになります。
メリット…親知らずのように要らなくなった歯を、再利用することができる
デメリット…再利用できる歯とできない歯がある
たとえば、奥歯の親知らずを前歯に再利用することはできません。条件を満たした歯でないと行うことができないのが歯の移植ですが手技として難しいものでもあり、どこの歯科医院でも行える治療ではありません。当院は歯の移植に関してもマイクロスコープやCTを駆使して症例を手掛けています。
歯の移植の症例
自家歯牙移植治療(必要のない歯を用いて欠損部に移植します)
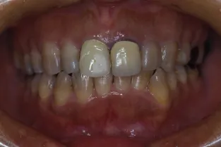
初診時





治療完了時





| 患者様のお悩み | 咀嚼障害(左下奥歯) |
|---|---|
| 治療法・使用素材 | 自家歯牙移植治療 |
| 患者様の年代 | 30代 |
| 治療開始年齢 | 30代 |
| 治療にかかった期間 | 6か月 |
| 性別 | 女性 |
| この治療のリスクについて | 移植歯が生着するかどうか |
| 治療にかかった費用 | 5万円 |





